Learning Objectives
By the end of this section, students should be able to:
- Identify and describe the 8 cranial and 14 facial bones of the skull.
- Locate and name key foramina, processes, and sutures on the skull.
- Recognize the location and purpose of four paranasal sinuses.
- Distinguish between adult and fetal skull features, including fontanelles.
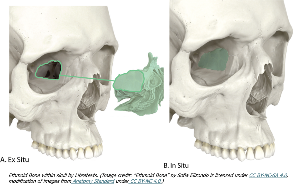
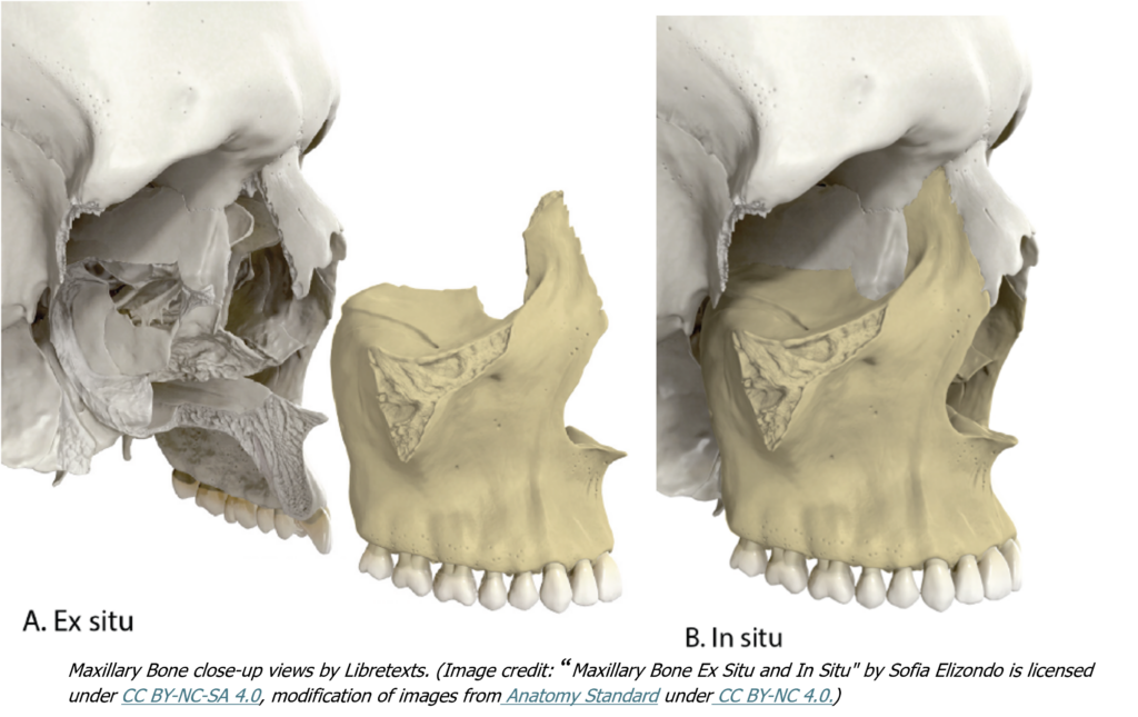
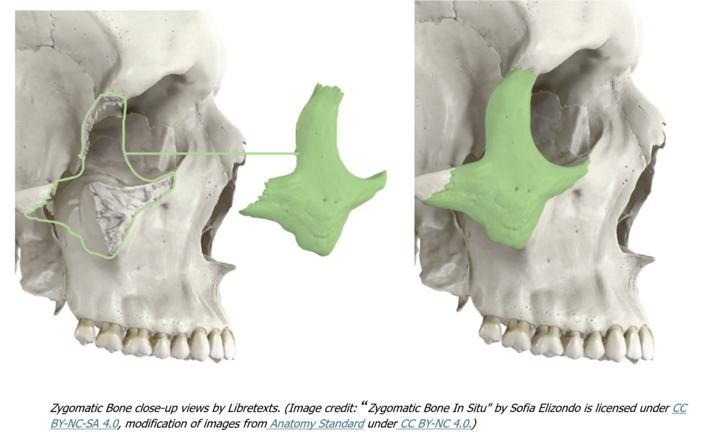
Cranial and Facial Bones
The skull consists of twenty-two bones that are divided into two divisions. These bones have complex shapes, and they fit together like the pieces of a very intricate jigsaw puzzle. You’ll begin by examining the skull as a whole from multiple viewpoints, then explore specific features of each bone.
To support different learning styles, each section on this page combines labeled figures, descriptive text, rotating GIFs, 3D models, and interactive H5P activities—giving you multiple ways to engage with the material and build your understanding & recall skills. Let’s get started!
🦴 Learn the Skull Bones
Explore the 8 cranial bones and 14 facial bones summarized in the figure one by one using the dropdowns below. Each dropdown includes a summary of the bone’s location, features, and functions, along with rotating skulls and links to interactive 3D tools to help you visualize its structure, connections and relative position.

💡 Tip: You can also scroll down to the Summary of Interactive 3D Skull Models section —each with a QR code so you can easily open them on your phone while reviewing content on your laptop. Then, reinforce your learning with the Test Your Knowledge activities.
✅ Test Your Knowledge
Ready to test your skills? Use these activities to check your ability to identify skull bones before moving on to the paranasal sinuses.
Paranasal Sinuses
The paranasal sinuses are hollow, air-filled spaces located within specific bones of the skull (Lange et al., 2025; Betts et al., 2022). Each sinus is named for the bone it occupies—paranasal literally means “next to the nasal cavity.”
These sinuses:
- Communicate with the nasal cavity
- Are lined with nasal mucosa
- Help lighten the skull by reducing bone mass
- Add resonance to the voice
They’re tucked inside bones you might not expect—like the sphenoid and ethmoid. Ready to explore where they’re hiding?
💬 Challenge:
See which sinus surprises you the most? Can you explain why it’s located there or how it might affect your voice or breathing?
🧠 Quiz Yourself!
Can you identify all four paranasal sinuses in this 3D model by UMich Sketchfab ?
Try this:
- Locate the frontal, ethmoid, sphenoid, and maxillary sinuses.
- Which sinus is most anterior?
- Which one lies deepest within the skull?
- Rotate the model to view the sinuses from different angles.
💡 Tip: Use the labels and transparency features in the UMich Sketchfab model to help visualize their positions and connections.
✅ Test Your Knowledge
Ready to test your skills? Use these activities to check your ability to identify the paranasal sinuses before moving on to the fetal skull.
Fetal Skull
At birth, the skull is not fully ossified. The fontanelles—flexible regions of fibrous connective tissue—allow for distortion during birth and accommodate rapid brain growth.
Key Fontanelles to Identify:
- Anterior fontanelle: Diamond-shaped, between frontal and parietal bones.
- Occipital fontanelle: Between parietal and occipital bones.
- Sphenoidal & mastoid fontanelles: Seen on each inferior side.
Fontanelles close at various ages, but ossification completes by age two.
✅ Test Your Knowledge
Before you wrap up, test your knowledge with the labeling challenge and timed activity!













































